Tandregulering børn og unge
Det mest gunstige tidspunkt for tandregulering er afhængig af bl.a. kæbevækst og tandstillingsfejl. Vi anbefaler som hovedregel at rette tænderne så tidligt som muligt for at udnytte væksten, forhindre udvikling af større tandstillingsproblemer og for at forebygge skader. Når væksten udnyttes kan der opnås et bedre resultat på kortere tid.
Børn og unge indtil det 18. år tilbydes tandregulering via kommunerne i tilfælde af tandstillingsfejl, som er omfattet af Sundhedsstyrelsens lovgivning (http://fsonet.dk/love/visit.htm). Der er frit valg mellem kommunal og privat klinik for de 16-20 årige, hvis behandling ikke er påbegyndt.
Tandstillingsfejl, som ikke tilbydes behandling gennem den kommunale tandpleje, kan korrigeres mod egenbetaling. Sygesikringen Danmark yder tilskud til dækning af tandregulering http://www.sygeforsikring.dk/Default.aspx?ID=393
I tilfælde med store afvigelser kan og bør Regionstandplejen eller Kæbekirurgisk afdeling inddrages i behandlingen og dækning af honoraret.
Har du spørgsmål til undersøgelse, behandling og tilskud, er du velkommen til at kontakte klinikken. Se også under “Værd at vide” for yderligere information.
Alle kan henvende sig til klinikken direkte eller via henvisning fra egen tandlæge for en uforpligtende konsultation.
Tandregulering til enhver alder…
Hør mere om tandregulering og bestil en uforpligtende konsultation til kr. 1500,- Du får grundig information om dine behandlingsmuligheder, et prisoverslag og et forslag til en betalingsordning.
Bestil tid på tlf. 86 12 17 66.
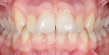
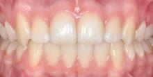
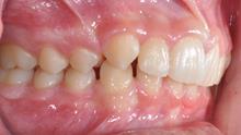
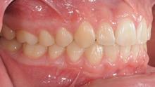
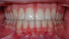
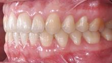
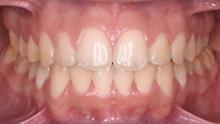
Eksempel 1
Behandling af trangstilling og forøget overbid.
Før


Efter


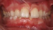
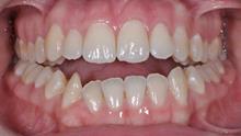
Eksempel 2
Behandling af dybt bid og skjult overbid (fortænderne i overkæben læner sig bagud før behandling pga diskrepans mellem over- og underkæben)
Før


Efter


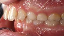
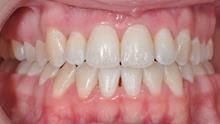
Eksempel 3
Behandling af trangstilling, fremstående hjørnetænder i overkæben og let forøget overbid. Behandlingen er foretaget med indvendig bøjle kaldet lingual apparatur.
Før


Efter


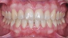
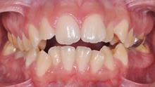
Eksempel 4
Behandling af trangstilling (mangel på plads til tænderne) og åbent bid.
Før


Efter


Eksempel 5
Behandling af teenager med stort overbid med læbefang og dybt bid med ganepåbidning. Der er først behandlet med aftagelig bøjler under tandskiftet og siden med faste bøjler for finindstilling af tænderne og biddet.
Før


Efter


Eksempel 6
Behandling af åbent bid
Før

Efter

Eksempel 7
Behandling af trangsstilling og åbent bid.
Før


Efter

