Bøjletyper

Vi arbejder med alle former for tandregulering og bøjletyper.

I denne sektion kan du læse om de mest almindelige bøjletyper samt usynlige og æstetiske bøjler.

 

Tandregulering til enhver alder…

Hør mere om tandregulering og bestil en uforpligtende konsultation til kr. 1500,- Du får grundig information om dine behandlingsmuligheder, et prisoverslag og et forslag til en betalingsordning.

Bestil tid på tlf. 86 12 17 66.

Brackets, tandfarvede og metal

Brackets, tandfarvede og metal

Læs mere
Usynlige bøjler

Usynlige bøjler

Læs mere
Aligners, Invisalign

Aligners, Invisalign

Læs mere
Aktivatorer og plader

Aktivatorer og plader

Læs mere
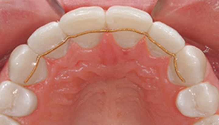
Holdebøjler

Holdebøjler

Læs mere