Før og efter billeder

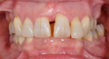
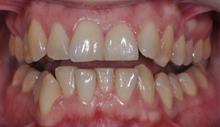
Eksempel

Behandling af trangstilling i både over- og underkæben. Der var en smule slid på skærekanterne af de store fortænder i overkæben, som efter tandregulering blev opbygget hos egen tandlæge.

Før

Efter

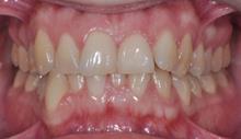
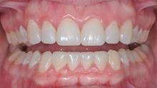
Eksempel

Behandling af trangstilling og forøget overbid.

Før

Efter

Eksempel

Behandling af trangstilling og åbent bid.

Før

Efter

Eksempel

Behandling af skæv hældning af tænderne, trangstilling og dybt bid. Behandlingen blev udført med faste bøjler. Efter behandling er tænderne skånsomt bleget og der er pålagt plast pga tidligere slid af tænderne.

Før

Efter

Eksempel

Behandling af æstetik og funktion. Der er tandreguleret for dybt bid, trangstilling og et "skjult" overbid. De sidste 2 billeder er efter tandregulering og efterfølgende behandling af de midterste fortænder, som var skadet i et traume mange år tidligere.

Før

Efter

Eksempel

Behandling af dybt bid og skjult overbid (fortænderne i overkæben læner sig bagud før behandling pga diskrepans mellem over- og underkæben)

Før

Efter

Eksempel

Tandregulering med alignere. Der er behandlet for indstilling af tænderne til opbygning af slid på fortænder. Tandreguleringen er foretaget her på klinikken og opbygning af sliddet er foretaget efterfølgende hos egen tandlæge.

Før

Efter

Eksempel

Behandling af overbid, dybt bid og mellemrum mellem tænderne.

Før

Efter

Eksempel

Behandling af trangstilling, fremstående hjørnetænder i overkæben og let forøget overbid. Behandlingen er foretaget med indvendig bøjle kaldet lingual apparatur.

Før

Efter

Eksempel

Tandregulering med alignere for behandling af trangstilling og indstilling af tænderne til opbygning af slid af fortænder i både over- og underkæbe. Opbygning af sliddet er foretaget efter tandregulering i samarbejde med tandlæge Søren Zedlitz.

Før

Efter

Eksempel

Behandling af forøget overbid og dybt bid. Efter tandregulering har egen tandlæge indsat en ny fortand i underkæbens venstre side, da der var medfødt mangel af denne tand. Mellemrummet i venstre side af overkæben blev lukket under tandreguleringen ved at føre den bagerste tand frem i tandrækken.

Før

Efter

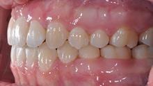
Eksempel

Behandling af trangstilling i både over- og underkæben. Der var en smule slid på skærekanterne af de store fortænder i overkæben, som efter tandregulering blev opbygget hos egen tandlæge.

Før

Efter

Eksempel

Behandling med Invisalign alignere af trangstilling, let forøget overbid og åbent bid.

Før

Efter

Eksempel

Behandling af underbid foretaget med faste bøjler et operativt indgreb på kæberne.

Før

Efter

Eksempel

Behandling af teenager med stort overbid med læbefang og dybt bid med ganepåbidning. Der er først behandlet med aftagelig bøjler under tandskiftet og siden med faste bøjler for finindstilling af tænderne og biddet.

Før

Efter

Eksempel

Åbent bid og underbid er behandlet med bøjler og en operation på kæben.

Før

Efter