Aktivatorer og plader
Aktivatorer og plader bruges mest til børn og kan benyttes til at forebygge en senere større tandregulering. Disse bøjler er aftagelige.
Mange tandstillingsfejl korrigeres hurtigere og bedre, hvis væksten udnyttes til adaptation af kæbernes stilling. Herved kan yderligere problemer og skader også forebygges.
Pladerne benyttes typisk til at gøre tandbuen større eller rette simple tandstillingsfejl.
Aktivatorer udnytter væksten og bruges mestved behandling af overbid.
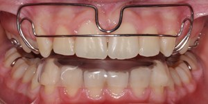
Herunder eksempel på behandling med aktivator
Tandregulering til enhver alder…
Hør mere om tandregulering og bestil en uforpligtende konsultation til kr. 1500,- Du får grundig information om dine behandlingsmuligheder, et prisoverslag og et forslag til en betalingsordning.
Bestil tid på tlf. 86 12 17 66.


Eksempel på aktivator
