Aligners, Invisalign
Aligners er en næsten usynlig måde at regulere tænder på. Vi tager en 3D scanning af dine tænder, som bruges til at fremstille en af række tynde gennemsigtige skinner, der hver især flytter tænderne et lille skridt nærmere det færdige resultat. Til hjælp med tandreguleringen kan det være nødvendig at påsætte små tandfarvede plastknapper på enkelte tænder. Når behandlingen afsluttes fjernes disse igen. Skinnerne (aligners) er aftagelige. De skal bruges det meste af døgnet for at opnå et forudsigeligt og godt resultat.
Det er ikke alle tandstillingsfejl, som egner sig til behandling med aligners.
Du kan læse mere om de mest anvendte aligners på www.invisalign.dk


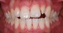
Behandling med Invisalign alignere af trangstilling, let forøget overbid og åbent bid.
Før


Efter


Tandregulering til enhver alder…
Hør mere om tandregulering og bestil en uforpligtende konsultation til kr. 1500,- Du får grundig information om dine behandlingsmuligheder, et prisoverslag og et forslag til en betalingsordning.
Bestil tid på tlf. 86 12 17 66.