Tandregulering voksne
Tandregulering kan foretages hele livet igennem. Et stigende antal voksne får foretaget tandregulering.
Årsagerne til tandregulering/tandretning kan være mange:
- Kosmetiske/æstetiske: f.eks. skæve tænder, mellemrum.
- Funktionsbetingede: f.eks. problemer med kæbeled, tyggemuskler, hovedpine, afbidning
- Slid og påbidning af ganen/tandkødet.
- Opretning af tænder og pladsskafning før behandling med implantater, kroner og broer.
- Afvigende kæbevækst, eksempelvis stort overbid, underbid, åbent bid, asymmetri.
Der er i dag mange forskellige bøjletyper og muligheder. Vi arbejder med alle former for tandregulering fra de mindste kosmetiske afvigelser til korrektion af udtalt afvigende kæbevækst. I nogle tilfælde må tandreguleringen kombineres med et operativt indgreb, som foretages af Specialtandlæger i Kæbekirurgi i hospitalsregi.
Honoraret afhænger af tandstillingsfejlen og bøjletypen. Tandregulering af voksne er oftest for egenbetaling. Sygesikringen Danmark yder tilskud til tandregulering http://www.sygeforsikring.dk/Default.aspx?ID=393, og i nogle tilfælde dækkes det fulde honorar af Regionen.
Har du spørgsmål til undersøgelse, behandling eller tilskud, er du velkommen til at kontakte klinikken. Se også under “Værd at vide” for yderligere information.
Alle kan henvende sig til klinikken direkte eller via henvisning fra egen tandlæge for en uforpligtende konsultation.
Tandregulering til enhver alder…
Hør mere om tandregulering og bestil en uforpligtende konsultation til kr. 1500,- Du får grundig information om dine behandlingsmuligheder, et prisoverslag og et forslag til en betalingsordning.
Bestil tid på tlf. 86 12 17 66.
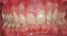
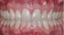
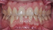
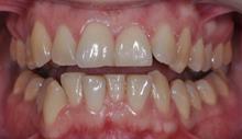
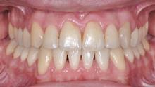
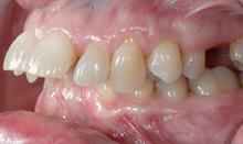
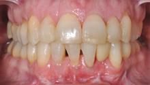
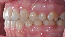
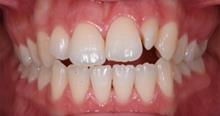
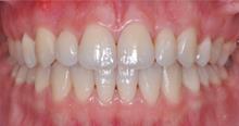
Eksempel 1
Behandling af skæv hældning af tænderne, trangstilling og dybt bid. Behandlingen blev udført med faste bøjler. Efter behandling er tænderne skånsomt bleget og der er pålagt plast pga tidligere slid af tænderne.
Før


Efter


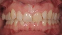
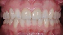
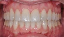
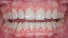
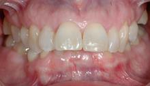
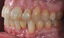
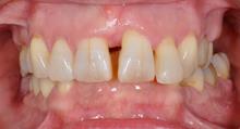
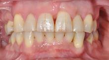
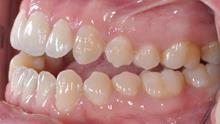
Eksempel 2
Behandling af æstetik og funktion. Der er tandreguleret for dybt bid, trangstilling og et "skjult" overbid. De sidste 2 billeder er efter tandregulering og efterfølgende behandling af de midterste fortænder, som var skadet i et traume mange år tidligere.
Før


Efter


Eksempel 3
Tandregulering med alignere for behandling af trangstilling og indstilling af tænderne til opbygning af slid af fortænder i både over- og underkæbe. Opbygning af sliddet er foretaget efter tandregulering i samarbejde med tandlæge Søren Zedlitz.
Før




Efter




Eksempel 4
Tandregulering med alignere, som er gennemsigtige næsten usynlige skinner. Der er behandlet for indstilling af tænderne til opbygning af slid på fortænder. Tandreguleringen er foretaget her på klinikken og opbygning af sliddet er foretaget efterfølgende hos egen tandlæge.
Før


Efter


Eksempel 5
Behandling af underbid foretaget med faste bøjler et operativt indgreb på kæberne.
Før



Efter



Eksempel 6
Behandling af forøget overbid og dybt bid. Efter tandregulering har egen tandlæge indsat en ny fortand i underkæbens venstre side, da der var medfødt mangel af denne tand. Mellemrummet i venstre side af overkæben blev lukket under tandreguleringen ved at føre den bagerste tand frem i tandrækken.
Før




Efter




Eksempel 7
Behandling af mellemrum mellem tænderne, overbid og dybt bid.
Før

Efter

Eksempel 8
Åbent bid og underbid er behandlet med bøjler og en operation på kæben.
Før


Efter


Eksempel 9
Behandling med Invisalign alignere af trangstilling, let forøget overbid og åbent bid.
Før


Efter

